
インプラント
インプラント治療には、他の治療法とは比較できない様々な良さがあります。
天然の歯と同じ美しさと噛み心地など、代表的なメリットをいくつかご紹介します。

- 自分の歯と同じように噛みしめられる喜び
-
自分の歯と同じ噛み心地で食べ物を味わうことのできる喜びは、何ものにも代えがたい良さがあります。
インプラントは入れ歯やブリッジと違い、骨にしっかりと固定されていますので、力をかけて硬い食べ物でもしっかりと咬むことができます。 噛みしめることで出てくるお食事の美味しい味を損なうことがありません。

- 人前でも歯を気にすることなく、思い切りの笑顔
-
インプラントでは、他の天然の歯と変わらない美しさを持った歯を入れることが可能ですから、見た目はどの歯がインプラントなのか、ほとんどわかりません。
入れ歯やブリッジのように、他の歯にかけた金属が見えることもありませんので、心おきなく人前で笑うことができます。外れることや歯が見えることを気にするストレスから解放され、おしゃべりに夢中になったり、笑ったりすることが、心身の健康にもつながります。

- 歯を失った部分の骨が痩せ衰えない
-
歯を失うと、噛む行為によって、歯根を支えていた骨へと送られていた力の伝達がなくなるため、骨は次第に自分の役目が終わったと思いこみ、やせ衰えてしまいます。
入れ歯もブリッジにした場合にも骨はやせていきますので、食べ物が詰まる、舌触りが悪くなるなどの症状が出てくる可能性があります。
インプラントならば、噛む力をしっかりと骨に伝えてくれますので、伝達を受けた骨は丈夫に保たれます。

インプラントの構造は右図のように、上部構造・アバットメント・インプラント体(人工歯根)の大きく3つの部位に分けられます。
歯を失った骨にインプラント(人工歯根)を埋め込み、その上に歯を立ち上げます。 歯の欠損が与える影響は、機能・審美・そして精神的にも大きなダメージです。インプラントは、歯の欠損における有効な治療法なのです。


- インプラント治療において、カウンセリングはとても大切なステップです。
まずは基本検査のデータをもとに、さまざまな治療の方法について説明をさせて頂きます。
また患者様のご要望をお聞きした上で、患者様一人一人に最適な治療法をご提案させていただきます。
患者様とともに治療方針を決めていきます。


- 当院でインプラント治療を行うすべての患者様にCT撮影をして頂いています。
きしもと歯科クリニックには、デンタルCTが備わっておりますので、他医院や施設にてCT撮影を行う手間もございません。
院内にて的確な情報を確認し、検証をいたします。

-
- プランニング
- 基本検査の結果やレントゲン写真、CT画像により、どの部分にどのようなインプラントが何本必要があるかを診断し、治療の計画を立てます。
インプラントが必要な部位以外の治療も必要な場合はお口腔全体での治療計画を立て、治療の進め方、費用等についての説明をします。
治療はインフォームドコンセント(十分な説明と同意)が十分に行われてから開始します。 - シミュレーション
-
従来、歯ぐきを外科的に切開してからでないと見えなかった顎の骨の詳細な状況を、手術前にコンピュータで分析し様々な角度からリアルに再現することで、正確な術前シミュレーションができるようになりました。
- 単独歯欠損の場合
- 複数歯欠損の場合
- 無歯顎の(すべての歯を失った)場合
- 総入れ歯でも1日で噛めるようになるインプラント(オールオンフォー)
きしもと歯科クリニックでは上記のように、様々な状況やご要望に合わせた治療シミュレーションが可能になりました。
最新医療テクノロジーを用いた3次元分析により、歯ぐき内部や骨状態の詳細(骨量や骨密度)までを完全に把握することで、今まで以上に患者様にとって安全で確実なインプラント治療を行なうことができます。 また患者様もご自身の顎の状態を、コンピューターの画像でご覧いただけますので、治療計画を大変容易にご理解できます。


- インプラントの人工歯根(フィクスチャー)を顎の骨に埋め込みます。
手術方法は、一回法と二回法の二種類があります。 どちらを選択するかは、お口の中の状態によってよりよい方法を選択することになりますが、一般的には二回法が主流となっています。


-
埋入したインプラントが骨と結合、定着するまでは安静期間が必要です。
骨の状態や治療部位によって異なりますが、3ヶ月から6ヶ月ほど待つことになります。
なお、この期間中は仮歯を入れることができるので、日常生活には支障がありません。(口腔内の状態に寄っては仮歯を入れられない場合もあります。)治癒期間の目安
- 上顎前歯・上顎奥歯:6ヶ月
- 下顎前歯・下顎奥歯:3ヶ月
また、イミディエートロード(即時負荷)といって、インプラントを埋入した日にインプラント体(=フィクスチャー)の上にレジンという樹脂で作った仮歯を入れることも可能になりました。
ただし、これはその埋入する部位の骨量、骨密度、本数、埋入時の初期固定の強さなどによって、できる場合とできない場合があります。


- 埋入したインプラントが骨と結合し定着したら再び歯ぐきを切開して、人工の歯(=上部構造)の支台となるインプラントの部分(=アバットメント)をフィクスチャーに連結します。


- 二回法の場合は、STEP6のように簡単な外科手術で歯肉を切開して、アバットメントを連結し歯の土台を作ってから上部構造を制作し、装着します。
一回法の場合は、 骨との結合が確認され次第、上部構造の制作を開始します。


- インプラント治療終了後、インプラントを長持ちさせるためには適切なホームケアと定期的な検診が必要です。
きしもと歯科クリニックでは三ヶ月に一回のペースでメンテナンスを行うことをお奨めしております。 インプラントの部分だけではなく、他の歯についても専門的な予防処置と検査を行い、お口全体の健康状態を維持できるよにサポートいたします。
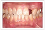
症例1
-

右上の1番目の歯が歯根破折により抜歯となり、インプラントをおこないました。
-

インプラント部はオールセラミッククラウン、左上の1番目の歯はラミネートベニアで修復いたしました。
-

症例2
-

-

義歯のぐらつきによる食事のしにくさの改善のために、インプラント義歯による安定をはかりました。
また下顎の歯並びを整え、奥歯にもインプラントをおこなっています。
症例3
-

-

左下奥歯の欠損部にインプラントを行いました。
インプラント上部はハイブリッドセラミックで修復いたしました。
症例4
-

-

-

右上の4番目の歯の歯根破折のため、抜歯と同時にインプラントを行いました。
インプラント上部はメタルボンドセラミックで修復いたしました。
症例5
-

-

-

右上の奥歯部に骨を作る手術と同時にインプラントを行いました。
骨が薄く通常の埋入手術だけでは困難な症例でも、インプラントを行えます。















