インビザラインご相談✨

 

 

 

 

皆様こんにちは😊看護師の早川です❕

 

 

 

只今、インビザラインキャンペーン中

ですが、お問い合わせやご相談、

インビザラインの診断など希望される方

が増えてきました😉♪

 

 

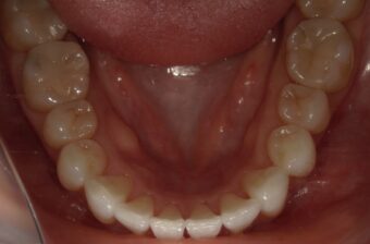
当院でインビザラインを終了した

方の症例がこちらです✨🎵

 

 

 

【 下顎Before 】

 

 

 

【 下顎After 】

 

 

 

【 上顎Before 】

 

 

 

 

【 上顎After 】

 

 

 

 

【 全体Before  】

 

 

 

 

【 全体After  

 

 

 

お得なキャンペーンはまだ行っています🤗

気になる方は、ご相談からでもお問い合わせ下さい😉

 

 

 

 

 

 

小倉北区の歯医者|きしもと歯科クリニック

日付:  カテゴリ:ブログ